Das hört sich ja richtig niedlich an.
Kann man sich kaum vorstellen, dass Hunde so sozial sind, was
Sammy würde nieee was abgeben. Er beisst sogar andere weg um an
deren Futter zu kommen :/
Find ich total toll!
Knuddel deine großzügige Maus mal von mir ![]()
Beiträge von Ulrike87
-
-
Ohweh, Kathrin, hab grad erstmal alles durchgelesen und drücke dir ganz ganz doll alle Daumen und Sammy seine Pfoten, dass es bald endlich bergauf geht!
Ganz doll gute Besserung von allen hier!!! -
Oh mein Gott mir sind so die Tränen gekommen. So ein tolles und ehrliches Video hab ich lange nicht mehr gesehn! Ich werd es gleich auf meiner Website einbauen!
Mir laufen immer noch die Tränen runter
LG Ulrike
-
Ich hab auch so ein kleines Getreidemonster.
Letztens ist mir meine Packung Mäusefutter heruntergefallen und die Körner waren über den Boden zerstreut.
Was macht Sammy?
Ablecken und Auffuttern
Naja, hab dann das Meiste vor ihm gerettet, war ja nun für die Mäuse
und den Rest hat er dann sauber gemacht 
-
Ich habe einfach Angst, dass diese Entzündung, die der Arzt auf dem Bild erkennen konnte (rot eingekreist) mehr wird.
Daher trag ich ihn jetzt die Treppe runter.
Aber joggen, Radfahren und Hundeschule? Ich weiss nicht. Ich ärger mich so, dass ich nicht gefragt habe... Oh man ich könnt mich in den Hintern beissen.Würde das CT nur machen, wenn ich genug Geld über habe. 300 Euro kann ich mir nicht so einfach aus dem Ärmel schütteln :/
Hab nur ne kleine Schramme in die Stoßstange gefahren, hat mich aber schon genug verwirrt

Lg Ulrike
-
Huhu liebe Fories,
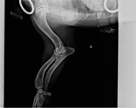
wie einige von euch ja wissen, war ich heut mit Sammy bei Dr. Thiet in Isernhagen in der Kleintierklinik um Sammy seine Krummbeine zu röntgen. Ich hatte ja Angst, dass die Beine sich noch weiter nach aussen drehen könnten, was zum Glück nicht bestätigt wurde. Soviel dazu.Hier erstmal die Röntgenbilder:


Der Arzt hat gesagt dass Elle und Speiche glücklicherweise im richtigen Winkel nebeneinander liegen aber dass er eine Entzündung am Gelenk entdeckt hat.
Um die Herkunft der Entzündung genauer zu bestimmen, müsste mit Sammy ein CT gemacht werden. Er würde sonst aufschneiden müssen um genauer zu schauen, aber er würde gern erst genau wissen (durch das CT) was diese Entzündung auslöst.Komischerweise hat er mir gegen diese Entzündung nichts gegeben (fällt mir jetzt erst auf wo ich zu Hause bin) und mir bloß gesagt, dass ich mir das mit dem CT noch überlegen kann (300,-€ !!!) da es jetzt nicht unbedingt so akut sei und Sammy ja keine Schmerzen hat. Ausserdem soll ich die Stellung seiner Pfoten beobachten und ihn keine Treppe mehr herunterlaufen lassen. Daran halte ich mich jetzt auch.
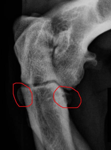
Hier sieht man nochmal die Stelle, die Entzündet ist:

Links schlimmer als rechts.Was sagt ihr dazu?
Ich war leider vorhin so durcheinander (hab auf der Hinfahrt noch nen Unfall gebaut
) dass ich garnicht klare Fragen stellen konnte.LG Ulrike und Sammy
-
Hey das find ich ja mal gut.
Und ich muss sagen ich bin mir ziemlich sicher dass ich irgendwas auf meinem Rechner hab. Noch hat es sich nicht bemerkbar gemacht, aber naja. Ich hab glaub ich nichtmal nen Virenscanner drauf. Jedenfalls sagt mir hier nix dass ich einen hab und installiert hab ich och noch keinen. Hihi. Hab nur nen doofen Pop-Up-Blocker der mir leider viel zu viel blockt und den ich nicht mehr deinstallieren kann :/LG Ulrike
-
-
)Morgen hab ich ja den Termin um 15:45 bei der Tierklinik zum Röntgen von Sammys Vorderläufen. Ich hoffe es ist alles in Ordnung. Und natürlich werd ich euch dann berichten. Kann jetzt ja kaum noch klar denken.
Und heute morgen ist mein 14kg Hundefutter-Sack gekommen.
Die Verpackung sah erst komisch aus (so selbstgemacht
) aber das Futter schaut schon gut aus. In Knochenform
und Sammy hat auch schon 1 Mahlzeit gefuttert. Gnadenlos runter damit unds ogar den Napf ausgeleckt. Super. Bin zufrieden 
LG Ulrike
-
Ohweh. Das guck ich mir lieber nicht an.
Bekomme sonst einen weinkrampf